
391 Lâmina densa de células. Esta paciente também tinha uma anormalidade colposcópica. O esfregaço cervical foi descrito como negativo e na revisão a única anormalidade possível foi a densa lâmina de células vistas neste campo. (x 80)
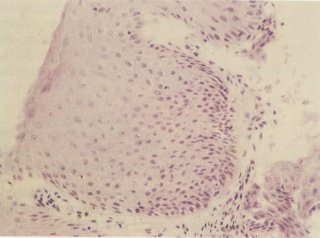
392 Células basais hiperplásicas: biópsia colposcópica. Este corte foi originariamente relatado como NIC I mas na revisão foi estabelecido que não havia mais que hiperplasia de células basais. Notar a queratinização da superfície a qual justificaria a anormalidade colposcópica. Esfregaços adicionais continuaram a ser negativos. (H & E, x 80)