
É normal e achar células endometriais do esfregaço Cérvico vaginal dois a três dias antes, durante e por poucos dias após a menstruação. Em algumas mulheres ocasionalmente a células endometriais são vistas no meio do ciclo na época da ovulação; isto pode ser também associado com a “mittelschmerz” (dor na ovulação). Mulheres usando um dispositivo intra-uterino contraceptivo (DIU) e geralmente desprendem células endometriais através do ciclo, mas com esta exceção as células endometriais achadas fora dos tempos especificados acima deveriam ter investigação adicional. Em particular, células endometriais achadas em esfregaços na pós-menopausa freqüentemente indicam doença mesmo quando as células parecem normais.
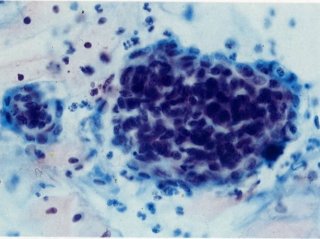
38. Células endometriais. Este campo mostra um grupo de células do estroma e poucas células isoladas parecendo-se com histiócitos (topo), as quais são provavelmente de origem glandular (flecha). (X 160)
39. Células endometriais. O grupo de células do estroma são vistas, com um indício de uma forma a acinar na periferia. (X 160)
40. Fragmento glandular. Neste campo um fragmento glandular foi retirado do estroma e representa um canal com revestimento de células no centro. (X 62)
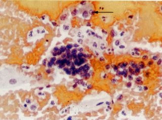
41. Células endometriais: migração. Seguindo à menstruação, as células endometriais ficam com a aparência de histiócitos, e, em alguns casos, essas células são vistas fluindo para fora mais habitualmente de um agrupamento glandular ou estromático, como ilustrado neste campo. (X 160)
fiz a colposcopia e o resultado foi o seguinte:
Vulva de vestíbulo: mucosa hiperemiada
Vagina – mucosa: íntegra
– conteúdo: esbranquiçado
colo – forma: cilíndrica
– orifício externo: em fenda
– endocérvice: muco cristalino
– ectocérvice: junção escamo colunar -4
linguetas de epitélio escamoso
Conclusão: – achados colposcópicos normais.
– ectrópio
– zona de transformação típica completamente ectocervical
se puder me ajudar…agradeçoo
Evelyn:
Não tem nada de anormal em seu resultado. Você está bem.