Um
caso de
adenose vaginal benigna é ilustrado em 108 a 112.
Aquela
paciente não havia sido exposta ao DES
intra-útero, assim, foi este um exemplo de adenose vaginal
congênita. Casos de adenocarcinoma desenvolvidos em meninas
expostas ao DES têm sido mais raros neste país
(Inglaterra) do que nos EUA, mas aqui apresentado foi um deles (Buckley
et al., 1982). A paciente tinha sido exposta ao DES no primeiro
trimestre da gestação de sua mãe. Ela
teve uma menarca precoce mas por outro lado esteve bem até
começar a usar contraceptivos orais com 16 anos. Aos 17 anos
de idade ela apresentou-se com sangra-mento pós-coito, e um
tumor foi achado ao exame clínico.
Caso 1: Adenocarcinoma vaginal
células claras

340.
Células malignas indiferenciadas.
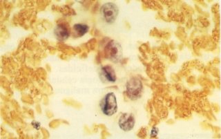
O
esfregaço era manchado de sangue com uma
população quase pura de células
malignas indiferenciadas. Este mostra um citoplasma de
coloração pálida e os
núcleos contêm nucléolos vermelhos
evidentes. (X 250)
341.
Células malignas indiferenciadas. O
citoplasma claro é mais aparente neste grupo de
células achadas em outro campo. (x 250)
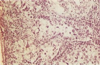
342.
Adenocarcinoma vaginal
(células claras).
O tratamento foi por
extensão, histerectomia e vaginectomia e o exame da
peça mostrou que o tumor crescia nos fórnices
vaginais. A cérvix está livre do tumor com
exceção da disseminação dos
fórnices para a periferia da ectocérvix. O quadro
histológico do tumor foi semelhante ao visto neste corte da
biópsia colposcópica. Este mostra um
adenocarcinoma de células claras pobremente diferenciadas.
(H & E, x 62)