Células normais no esfregaço sanguíneo

Estas são as células comumente encontradas em um esfregaço sanguíneo.

granulócitos
1. granulócitos (leucócitos com núcleo segmentado). 2. Eosinófilo. 3. Linfócito. 4. Monócito.

Linfócito
3. Linfócito. 4. Monócito. 5. Basófilo. Note as plaquetas concentradas no canto superior esquerdo.

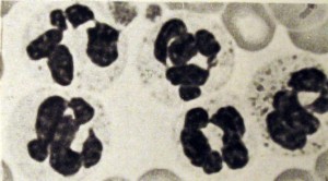
Neutrófilos com núcleo hipersegmentado
Neutrófilos com núcleo hipersegmentado.

Cromatina sexual
Cromatina sexual (baqueta)

Cromatina sexual
Cromatina sexual (Nódulos sésseis e pequenos grumos)

Cromatina sexual
Cromatina sexual (Pequeno grumo)

Cromatina sexual
Cromatina sexual (Raquete).

Imprimir
[Voltar]