Desenvolvimento dos eosinófilos

O desenvolvimento dos granulócitos eosinófilos começa com a diferenciação das células tronco, dentro da medula óssea.

Promielócito eosinófilo
Promielócito eosinófilo

Mielócito eosinófilo
Mielócito eosinófilo

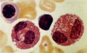
Dois metamielócitos eosinófilos
Dois metamielócitos eosinófilos

Dois leucócitos eosinófilos
Dois leucócitos eosinófilos

Imprimir
[Voltar]