
Fases da formação dos eritrócitos (glóbulos vermelhos).
As células das quais se desenvolvem os eritrócitos localizam-se na medula óssea.
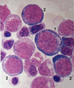
Pronormoblasto (proeritroblasto). É o mais imaturo, no entanto, é a maior célula da eritropoiese. Seu núcleo é esférico, de coloração violeta-amarronado, que tem uma estrutura de cromatina altamente empacotada com núcleos azulados difíceis de serem distinguidos. Citoplasma é palidamente azulado com manchas ou áreas brilhantes em forma de foice aguda (hialoplasma), dependendo da localização da zona do Complexo de Golghi e das mitocôndrias. A tendência a dando mecânico produz extrusão plasmática. Na mitose, o avivamento da cor é causado pela distribuição difusa das mitocôndrias por todo citoplasma.
Macroblasto (macropronormoblasto): formas celulares resultantes da chamada divisão hemi-heteroplástica do pronormoblasto, ao qual assemelha-se morfologicamente, sendo distinguida apenas pelo diâmetro menor da célula. A composição do núcleo pode ter densidade variada, assim como certas transições para os tipos celulares formados nas etapas seguintes da eritropoiese.
Células formadas por maturação e divisão
Normoblasto basófilo: o diâmetro das células, comparado com os macroblastos, é menor. O núcleo é esférico e contém cromatina, verificável com um contraste forte, coloração entre o violeta e o marrom, na qual as partículas de cromatina podem ser vistas. O citoplasma é moderadamente basófilo.
Normoblasto policromático: a forma da célula e a estrutura do núcleo são similares aos encontrados no normoblasto basófilo, mas o diâmetro celular é menor. O Citoplasma varia entre o azul, o cinza e o violeta (a mistura de cores é causada pela progressiva produção de hemoglobina acidófila).
Normoblasto ortocromático acidófilo: neste grupo de células acontece diminuição progressiva do tamanho do núcleo, com um correspondente aumento na intensidade da cromatina (picnose), que pode ser vista como uma estrutura residual homogênea de cor preta. O Citoplasma varia entre as cores cinza, amarelo e vermelho nas extremidades, que muitas vezes não é claramente definida. Neste estágio do desenvolvimento do eritrócito, a síntese de hemoglobina se completa.
Desaparecimento do núcleo do Normoblasto e maturação rumo à formação de célula sanguíneas anucleares no sangue periférico.
Aparecimento das chamadas substâncias basofílicas nos eritrócitos.
Regras básicas para eritropoiese: