
Desenvolvimento dos leucócitos (também chamados de leucócitos) dentro da medula óssea.
1. As células precursoras dos granulócitos na medula óssea.
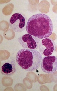
1.1. Mieloblastos: essa é a forma mais imatura dos granulócitos. Aparece esparsamente na medula óssea e têm diâmetro celular ligeiramente menor que os proeritroblastos. Os mieloblastos existem em diversas formas celulares, e tem um núcleo que é frequentemente oval e ligeiramente recuado em um dos lados. A cromatina é fina, nitidamente unida a filamentos transparentes. Os nucléolos (de 2 a 5), que podem se coalescer, são claramente visíveis. O citoplasma é pequeno e moderadamente ou fracamente basofílico, e contém uma zona clara perinuclear.
Existem basicamente dois tipos:
1.1.1. Tipo I: sem granulações e tipo II, com granulações incipientes.
1.2 Promielócitos. Um grupo de células que consistem de diversos elementos que variam particularmente em sua relação núcleo- Citoplasma e em seus graus de granulação. Algumas características comuns dos promielócitos são a forma ovalada do núcleo, frequentes mente achatados ou recusados em um dos lados das células (em forma de rim); cromatina mediamente densa é reticulações heterogêneas. Os nucléolos são frequentemente visíveis. O citoplasma é azul-claro médio, com pequenas zonas e formas irregulares nas proximidades do núcleo, e contém grânulos azurófilos.
1.3 Promielócitos jovem: esse é o tipo de célula imatura mais frequente na granulopoiese. A forma mais velha ainda mostra uma estreita relação morfológica com o mieloblasto. Frequentes mente o núcleo contém nucléolos visíveis e o citoplasma mostra claramente alguns grânulos azurófilos. Com desenvolvimento completo do promielócito jovem é o maior das células da série granulocítica, devido ao aumento no tamanho do citoplasma que contém muitas granulações azurófilas. Ocasionalmente fragmentos plasmáticos com granulações típicas são visíveis.
Células formadas por divisão durante a maturação.
1.4 Promielócitos tardio ou mielócito imaturo: essas células possuem um diâmetro menor, poucos nucléolos, citoplasma menos basófilo e menos granulações azurófilas que os promielócitos jovens. Ocasionalmente começam a assumir a coloração dos mielócitos.
1.5 Mielócitos neutrófilos (primeira evidência de granulações específicas): os neutrófilos mostram uma diminuição no diâmetro celular e no tamanho do núcleo. A estrutura da cromatina torna-se mais grossa e os nucléolos são raramente visíveis. As células mostram as primeiras aparências de granulações específicas e violeta-amarronadas claras (neutrofílicos), tomando o lugar das granulações azurófilas encontradas nos promielócitos. O citoplasma não é mais basofílico e assume uma cor cinza claro ou castanho-amarronado. Também se destaca um ponto claro na área nuclear.
Fim das divisões de maturação.
O desenvolvimento das células ainda se faz por maturação do núcleo.
1.6 Metamielócito neutrófilo: o núcleo das células assume forma de feijão ou rim e a cromatina é grossamente compactada em manchas nos polos celulares. O Citoplasma é parecido com o visto no mielócito neutrófilo, mas sem a centrosfera.


