Mitose em células de aspirado de medula óssea

Principais achados de mitose em aspirados de medula óssea.

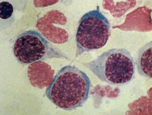
Estágio I: profase (em megaloblasto)
Estágio I: profase (em megaloblasto)

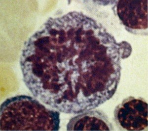
Estágio II: metáfase tardia (proeritroblasto)
Estágio II: metáfase tardia (proeritroblasto)

Uma metáfase tardia e uma jovem em duas células carcinóides
Uma metáfase tardia e uma jovem em duas células carcinóides

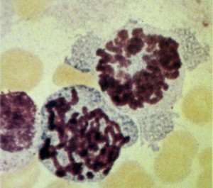
Estágio II: metáfase tardia (mieloblasto)
Estágio II: metáfase tardia (mieloblasto)

Estágio III: anáfase (promieloblasto com diversas mitocôndrias)
Estágio III: anáfase (promieloblasto com diversas mitocôndrias)

Estágio III: anáfase (promieloblasto ou promonócito)
Estágio III: anáfase (promieloblasto ou promonócito)

Estágio IV: telófase (mielócito eosinofílico)
Estágio IV: telófase (mielócito eosinofílico)

Telófase completa (quatro células filhas, normoblastos basófilos)
Telófase completa (quatro células filhas, normoblastos basófilos)

Endomitose multipolar em células de Hodgkin.
Endomitose multipolar em células de Hodgkin.

Imprimir
[Voltar]